この街の元気と共に60年!石川県最大の病院グループ ドック健診・各種がん治療(PET-CT検査・定位放射線治療「ノバリス」「ガンマナイフ」・ラジオ波治療)・白内障手術・人工呼吸・てんかん手術・パーキンソンは当院へ

この街の元気と共に60年!北陸最大の民間病院 ドック健診・PET-CT・定位放射線治療「ノバリス」「ガンマナイフ」・ラジオ波治療・白内障・てんかん・結石治療は当院へ

ご予約・お問い合わせはTEL.076-252-2101 FAX.076-252-2102

〒920-8621 石川県金沢市小坂町中83番地   サイトマップ

放射線部Radiation department

トップ > 病院のご案内 > 放射線部


放射線部のご紹介

最新医療設備を導入し、質の高い画像診断・低侵襲治療の提供に努めています
放射線部では医師と放射線技師の連携のもと、早期診断、早期治療に役立つ正確な画像診断に力をいれています。「PET−CT」、「3テスラMRI」、「ガンマナイフ」、「ノバリス」などの最新鋭の検査機器、治療機器を導入し、最新の医療技術で安全に最善を尽くした医療の提供に努め、地域の医療機関の先生方からの検査依頼にも迅速に対応できるよう心がけております。
                    放射線科のページへはこちらをクリックしてください。

主な医療設備一覧(最先端の医療設備を備えています)


診断装置
一般撮影装置(D150GH7) 一般撮影装置(UD150L-F)
一般撮影装置(UD150B-30) 乳房X線撮影装置(MGU100B)
骨密度測定装置(DPX-α) X線TV撮影装置(ZS35)
X線TV撮影装置(ZA40) X線TV撮影装置(uroskope D1)
超音波検査装置(logiqe500) CT/コンピュータ断層撮影装置(lightspeed4) 2台 
RI/核医学検査装置(SNC510R) RI/核医学検査装置(FORTE)
PET-CT(Discovery ST) MRI/核磁気共鳴診断撮影装置(signa3T HD)
MRI/核磁気共鳴診断撮影装置(signa1.5T) 血管造影検査装置(AXIOM)
移動型X線撮影装置(シリウス100k) 移動型X線撮影装置(mobilett E)
治療装置
ガンマナイフ
  (gamma knife model c-APS)
ノバリス(Novalis Body)

各種検査・治療について

患者様に安心して検査を受けていただくために丁寧な言葉で分かり易くご説明するとともに、検査の待ち時間短縮にも努めています。また、現在婦人科の撮影や乳房撮影などは女性技師が応対し、検査でのX線被曝も出来るだけ少なくなるよう技術的な努力をしています。

検査

X線単純撮影検査
X線単純撮影は症状に応じてまず第一に行われる検査です。X線を使用して胸部・腹部・骨などの撮影を行い、CR(デジタルX線画像診断)システムを用いて撮影データをコンピュータ処理することにより高画質の画像を提供します。
浅ノ川総合病院 放射線部 胸部撮影装置
胸部撮影装置
浅ノ川総合病院 放射線部 一般撮影装置
一般撮影装置
浅ノ川総合病院 放射線部 歯科用撮影装置
歯科用撮影装置
浅ノ川総合病院 放射線部 乳房X線撮影装置
乳房X線撮影装置
X線を使用して胸部、腹部、骨、乳房等の撮影を行います。
当院ではCRシステムにより画像をデジタル化し、コンピュータ処理することにより高画質の画像を提供しています。
胸部・腹部単純撮影
浅ノ川総合病院 放射線部 胸部単純撮影 浅ノ川総合病院 放射線部 腹部単純撮影 胸部に何らかの症状があり異常が疑われる時や、お腹が痛む時などに行います。例えば胸部なら炎症・腫瘍性病変、腹部なら胆・腎結石、腸管内のガス像の変化などを観察します。検査時間は5分程度です。
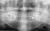
パントモグラフィー
浅ノ川総合病院 放射線部 パントモグラフィー撮影 外傷による顔面・顎の骨折や鼻腔の状態や、虫歯の広がりを確認します。
検査は立ったままの状態で、機械が回転して撮影します。検査時間は3分程度です。
骨単純撮影
浅ノ川総合病院 放射線部 骨単純撮影 浅ノ川総合病院 放射線部 骨単純撮影 外傷(打撲、捻挫、骨折)や、神経症状による痛みがある場合、頭部、脊椎、骨盤、上肢、下肢などの骨を部位により何方向か撮影します。検査時間は5〜10分程度です。(部位、撮影枚数により異なります)
マンモグラフィー
浅ノ川総合病院 放射線部 マンモグラフィー撮影 乳房にあるシコリや微小石灰化などを調べるための検査で、早期段階での発見も可能です。乳房撮影では乳房圧迫板で強く挟む必要があるため痛みを伴うことがあります。
検査時間は10分程度です。撮影は女性技師が行いますのでご安心ください。
CR(Computed Radiography:デジタルX線画像診断)システム
CRは従来のようなX線フィルムは使用せず、IP(Imaging Plate)と呼ばれる専用のプレートを用いて蓄積したX線画像情報を読み取りデジタル信号に変換して画像化します。
CRの特性
  • デジタル画像の為、保存や伝達に適します。(過去に撮影した写真の読み出しや定量解析が可能)
  • 軟部組織から骨部まで広い範囲にわたって画像観察できます。
  • 骨のアライメントのみの観察などの場合、X線量を低減できます。
検査を受けられる時の注意点
  • 検査前にはボタンや金具(チャック、ホックなど)のついた衣類、アクセサリー類、
    湿布、カイロなどは診断の障害になりますので取り外しておいてください。
    検査部位によっては脱衣や検査衣に着替えていただくことがあります。
  • 検査中は正確な位置合わせを行う目的で体に触れることがあります。
  • 必要な情報を得るため何方向か撮影する場合があります。
CT検査(コンピュータ断層診断:Computed Tomografhy)
CTとはComputed Tomografhyの略でコンピューター断層法と言います。CT検査は、装置の中心にある大きな穴に体を入れて、体の周りからX線を当てることにより、頭部、胸部、腹部など全身の断面(輪切り)を撮影する検査です。X線とコンピュータを使用して身体の断面を連続して撮影し、病気の状態、大きさ、形態などを見ることができます。
当院で使用しているCT装置は、320列/160mmという驚くべき広さを持つArea Detectorを使用し、0.35秒というわずか1回の高速スキャンで、全脳や全心臓を撮影でき、これまでのCTとは一線を画す、新しい発想の画像診断装置です。
これにより、今までのCT装置で得られていた形態情報だけでなく、血流や臓器などの動態情報を広範囲に観察することが可能です。
浅ノ川総合病院 放射線部 東芝 320列CT
東芝 320列CT
(Aquilion ONE)
浅ノ川総合病院 放射線部 胸部CT画像
胸部CT画像
浅ノ川総合病院 放射線部 腹部CT画像
腹部CT画像
CT画像は身体の内部構造を詳しく調べることができます。正常な状態から何らかの構造の変化で病気を発見します。

血管や病巣を分かりやすくするために、造影剤を静脈の中に注入し撮影する場合もあります。使用する造影剤は胃の検査に用いるバリウムとい同様にX線を通しにくいという原理を利用しています。
静脈から注入した造影剤は2時間後には約90%は尿として排出されます。世界中で使用されている極めて安全な薬剤です。
浅ノ川総合病院 放射線部 心臓CT画像
心臓CT画像
浅ノ川総合病院 放射線部 腹部造影CT画像
腹部造影CT画像
検査を受けられる時の注意点
  • 検査時間は部位により異なりますが10〜20分程度です。
  • 検査中は体を動かさないでください。(痛みはありません)
  • 検査中は検査担当者をマイクを通していつでも会話できますのでご安心ください。
MRI検査(磁気共鳴診断撮影:Magnetic Resonance Image
MRIとはMagnetic(磁気) Resonance(共鳴) Imaging(画像)の略で、X線などの放射線を用いない画像検査法です。 MRIの特徴は磁気と電波を使用して人体の横断像だけでなく、縦断像や斜めに切った像などあらゆる方向の断層面の撮影が容易にできます。X線などの放射線被ばくの心配はなく身体に優しい検査です。CTと比べて軟部組織(大脳、小脳、脊髄など)のより細かな情報が得られます。
また、もう一つの特徴として血流(血液の流れ)も画像化(MRA)することができ、脳血管障害(動脈瘤、閉塞など)の診断に主に利用されています。
当院では従来からある1.5T(テスラ:磁石の強さを表す単位)MRIと3.0TMRIを使用しています。
北陸初!最新の3テスラMRI装置導入
平成18年1月に北陸で初めてとなる最新の全身用 3.0T MRI 装置を導入しました。従来の装置に比べ質の高い診断が可能となり、より安全・確実に検査を行うことができます。
浅ノ川総合病院 放射線部 頸椎MRI画像
頸椎MRI画像
浅ノ川総合病院 放射線部 頭部MRA画像
頭部MRA画像
浅ノ川総合病院 放射線部 頭部MRI画像
頭部MRI画像
浅ノ川総合病院 放射線部 膝関節MRI画像
膝関節MRI画像
検査を受けられる時の注意点
  • 検査時間は20分から40分程度です。
  • 寝台に横になり、円筒状の穴の中に入り検査を行います。検査中は大きな音がしますが問題はありません。 検査は体を静止した状態で行いますので指示があるまで
    体を動かさないで下さい。(痛みはありません)
  • 検査によっては経口的な造影剤や肘の静脈から注入する造影剤を用いることがあります。気分が悪い場合はすぐに申し出てください。また、身体の中に心臓ペースメーカーなどの金属が埋め込まれている方や、以前造影剤で気分が悪くなったり、アレルギーのある方は検査前に担当医や担当技師にお申し出ください。
X線TV透視検査
この装置は造影剤を飲んだり、血管内や関節内などに注射することにより、X線単純撮影だけでは分かりにくい臓器の位置や形および働きや病変の存在を調べる時に主に使用されます。代表的なものに胃透視、大腸(注腸)検査、泌尿器検査、関節造影、脊髄造影、胆嚢造影、膵管造影、腎盂造影、子宮卵管造影、唾液腺造影などがあります。
浅ノ川総合病院 放射線部 X線TV撮影装置
X線TV撮影装置(ZS40)
浅ノ川総合病院 放射線部 X線TV撮影装置
X線TV撮影装置(uroskope D1)
浅ノ川総合病院 放射線部 胃・十二指腸造影
胃・十二指腸造影
浅ノ川総合病院 放射線部 肩関節造影
肩関節造影
浅ノ川総合病院 放射線部 脊髄造影 ミエロ
脊髄造影
一般的に胃透視と呼ばれ、バリウムという白い液体を飲みながら胃や十二指腸の状態を撮影します。その他に小腸造影、大腸造影もあります。 事故やスポーツ、加齢などにより痛めた関節の内部を観察するため、関節腔内に直接針で造影剤を注入し撮影します。 背中から脊髄腔内に直接造影剤を注入して、痛みやしびれなどを起こしている場所を見つけたり、その程度を知ることができます。
浅ノ川総合病院 放射線部 胆嚢造影・膵管造影
胆嚢造影・膵管造影
浅ノ川総合病院 放射線部 腎盂造影
腎盂造影
浅ノ川総合病院 放射線部 膀胱造影・尿道造影
膀胱造影・尿道造影
胆嚢造影では胆嚢の状態や機能を知ることができます。
膵管造影は総胆管や膵臓の膵管の中に直接造影剤を注入し、胆管、膵臓の状態を調べたり胆石、膵石を除去します。
造影剤を静脈注射し、腎臓から排泄される過程を撮影します。
腎臓の機能や形態、結石などを知ることができます。
尿道からチューブを挿入し、造影剤を注入することにより膀胱や、尿管の状態を調べます。
また直接、尿道から造影剤を注入し尿道の形態を観察することで前立腺の状態を調べます。
検査を受けられる時の注意点
  • 食道・胃・小腸検査の場合
    検査前日は軽い食事を午後7時頃までに済ませます。夕食後の飲食はしないでください。検査当日は絶食です。検査前に胃腸の働きを止める注射をします。心臓病、前立腺肥大、緑内障などの患者様には注射ができない場合がありますので検査前にお知らせください。
    注射のために少し動悸がしたりのどが渇くこともあります。バリウム等の造影剤の排泄を促すため下剤を飲んで頂きますが、下剤が十分効くように検査後はお茶・お水をしっかり飲んでください。排便がない方は当院受診科までご連絡ください。
  • 大腸(注腸)検査の場合
    検査前日から食事制限がありますので、当院では検査食を食べていただきます。
血管造影検査
血管造影は検査目的となる血管にカテーテルと呼ばれる細い管を挿入し、造影剤を注入しながらX線にて連続撮影します。また検査だけでなく血管内に挿入したカテーテルを用いて身体に負担の少ない血管内治療(IVR)も行っています。
浅ノ川総合病院 放射線部 血管造影装置 血管造影検査では血管の形態や血流の状態を知ることができます。血管の内腔が狭くなっている場合(狭窄)や詰まっている場合(閉塞)、拡張している場合(動脈瘤)や血管壁が破れて出血が起こっている場合などの診断には欠かせない検査です。
またがんなどの悪性腫瘍に対しても、その拡がりを見たり、血管腫などの良性腫瘍と鑑別したりするためにも応用されています。
大きな手術をする前に、附近の血管がどのように走っているかを確認するために血管撮影をすることも少なくありません。
検査だけではなく、血管内に挿入したカテーテルを用い、血管拡張術(狭くなった血管を広げ拡張・再開通させる治療法)や動脈塞栓術(塞栓物質を注入して、出血を止めたり、病変部を治癒させる治療法)など、治療を目的とするIVR (検査と同時に治療を行う方法)も行っています。
検査内容について
カテーテルという細い管を通常足の付け根あたりから動脈または静脈に直接挿入し、目的の部位まで進め造影剤を注入しながら撮影します。検査時間は内容によりますが1時間〜3時間程度かかります。
血管造影検査は、脳や心臓、肝臓、腎臓、肺、四肢などの血管の状態が観察できるだけでなく治療を目的とする場合もあります。
浅ノ川総合病院 放射線部 頭部血管造影 3D画像
頭部血管造影
(3D画像)
浅ノ川総合病院 放射線部 頭部血管造影 正面
頭部血管造影
(正面)
浅ノ川総合病院 放射線部 頭部血管造影 側面
頭部血管造影
(側面)
浅ノ川総合病院 放射線部 腹部血管造影
腹部血管造影
 
治療内容について
病変に応じて血管内治療を行います。
  1. 病変部に局所的に薬剤を投与する
  2. 病変部の栄養血管を詰め血流を止める
  3. 出血している血管を詰め止血する
  4. 細くなった血管内を太くし流れを良くする
  5. 大出血を起こす前に動脈瘤の血流を止める
  6. 流れの悪くなった血管内に薬を投与し流れを良くする
検査を受けられる時の注意点
  • 検査室は清潔区域になっていますので、検査中は動かず、吐き気やかゆみなど気分が悪くなった時はスタッフにお知らせください。
  • 動脈にカテーテルを入れて検査された方は、カテーテルを抜いてから約6時間から一晩安静が必要です。静脈の方は約1時間から3時間安静が必要となります。
骨密度測定検査
骨密度とはX線を利用して身体の骨塩量(塩分やカルシウム)を測定する検査です。骨密度を測定し骨の強度を知ることにより骨粗鬆症を予防します。
浅ノ川総合病院 放射線部 骨密度測定装置 人間の骨は、細胞成分とそれを支える膠原繊維・骨塩から成り立ち、全身のカルシウムの99%は骨炎として骨に貯蔵されています。

骨密度測定はこの骨塩量(塩分やカルシウムなど)を測定し、骨がもろくなり骨折しやすくなる骨粗鬆症の予防診断を行います。
骨塩の測定方法にはいくつか種類があります。
  • X線フィルムを用いたMD法
  • 超音波の減衰、速度の変化を利用した超音波法
  • CTスキャンを用いたQCT法
  • 単一エネルギーの光子を放出するX線を用いたDEXA法
当院ではこの中で最も信頼度が高いといわれているDEXA法を行っています。
浅ノ川総合病院 放射線部 骨密度画像 検査はベッドに寝ていただくだけで痛みなどはありません。基本的には腰の骨の測定を致します。特定の部位の骨密度を測定したい場合や、腰の骨で測定できない場合は大腿骨や上腕骨で測定します。
骨塩は35歳をピークに除々に減っていきます。女性の場合は特に閉経後に急激な骨量の低下が見られます。骨粗しょう症にならないためには閉経前に十分な骨量を蓄えて、現在の自分の骨密度を把握しておくことも大切です。
検査を受けられる時の注意点
  • 検査時間は10分程度です。
  • 一般撮影と同じで測定の妨げになるような衣服の金属類等ははずしてください。検査を希望される場合は各科外来にお申し出ください。
RI検査(核医学検査)
RI(Radio Isotope ラジオアイソトープ:放射性同位元素)は核医学検査とも呼ばれています。
RI検査は体内に極微量の放射線(γ線)を放出するアイソトープを含んだ薬剤(放射性医薬品)を静脈から注射し、体内から放出される放射線を検出し画像化することにより診断を行う検査です。体の中の病巣や臓器の状態を調べることができます。
投与された薬剤は速やかに体の外に排出され、放射能の量はX線による他の検査とほぼ同等で人体にはほとんど影響ありません。
浅ノ川総合病院 放射線部 RI検査 SPECT
2検出器SPECT装置
(PHILIPS社製(ADAC) FORIE)
浅ノ川総合病院 放射線部 RI検査 SPEC 
1検出器SPEC装置
SNC510OR-20A
少量のRI薬剤を静脈から注射し、多くの場合、検査用のベッドに20〜30分間静かに横になっている間に検査は終了します。
検査により甲状腺・肺・肝臓・腎臓の形、大きさや働きを診断できます。全身における悪性腫瘍の検索も可能です。カメラを回転させデータを得ることにより脳梗塞・脳腫瘍・心筋梗塞・狭心症などの病気を他の検査法(X-CT、MRI)より早期に発見できます。

検査を受けられる時の注意点
  • 検査の性質上、目的の臓器に薬が集まるまで、1〜3時間お待ちいただいたり、朝の絶食、服用中の薬の一時中止などが必要な場合があります。
  • できるだけ身体の安静な状態を診断したいため、検査によっては食事をしてはいけない場合があります。検査終了後は普段どおりの生活に戻れます。
PET‐CT検査
PET検査はPositron Emission Tomography(ポジトロン断層撮影法)の略です。ポジトロン(陽電子)を放出する極微量の薬剤を投与して、その薬剤が細胞内へ取り込まれる様子を専用のカメラ(PETカメラ)で撮影し、がんの有無や大きさを調べることができる新しい検査法です。当院に導入されたPET-CT装置(北陸で初導入)は、短時間でより正確な診断が可能となり早期発見に大変役立ちます。
                  PETセンターへはこちらをクリックしてください。

治療

ガンマナイフ・ノバリス
北信越で初導入のガンマナイフによる定位脳放射線手術は2〜3時間で完了し、短期間の入院で身体への負担や副作用も少なく安心して治療を受けていただけます。また、日本初導入のノバリスは、ガンマナイフでは治療困難な直径3cm以上の腫瘍だけでなく、顔面、頚部や脊椎、前立腺、肺など頭蓋内以外の全身の腫瘍に対して超高精度の定位照射を行います。
              定位放射線外科センターへはこちらをクリックしてください。

高度医療機器共同利用のご案内(医療機関の先生方へ)

放射線部ではCT検査等の画像診断に関して、他医療機関からのご依頼を受け付けています。

検査内容について

検査によっては前処置(食事制限や排便など)が必要であるもの、時間がかかるものがあります。
CT検査 当日予約可能
MRI検査 前日までの予約
RI検査 検査によっては時間がかかる場合があります。
予約時にご説明いたします。
乳房X線検査 当日予約可能
骨密度測定 当日予約可能
※PET−CT検査のご予約もお受けしています。詳しくは こちら から

検査結果について

検査終了後は速やかに読影を行い、患者様にフィルムと報告書をお渡しします。

検査依頼の申し込み方法

下記の検査予約お問い合わせ先までご連絡ください。その際はご希望の検査内容、日時をお知らせください。
なお、患者様からの直接のご予約はお受けできませんのでご注意願います。(検査をご希望の患者様は、主治医またはかかりつけ医にご相談ください。)

検査予約お問い合わせ先

検査依頼のお申込みや何かご不明な点・気になること等がございましたら、下記までお問い合わせください。

医療法人社団浅ノ川 浅ノ川総合病院
放射線部 検査予約・照会窓口

直通TEL:076−252−2175

※受付時間は、月曜から金曜の9:00〜17:00です。
 日曜・祝日・第2土曜日などの病院休診日や夜間はご質問にお答えできない場合がございます。ご了承ください。

医療法人社団浅ノ川
浅ノ川総合病院
医療法人社団浅ノ川 浅ノ川総合病院

〒920-8621
石川県金沢市小坂町中83番地
TEL 076-252-2101
FAX 076-252-2102

【外来受付時間】

月〜金曜 午前8:30〜午前11:00
     午後1:00〜午後4:00
土曜   午前8:30〜午前11:00

【診療開始時間】

月〜金曜 午前9:00〜
     午後2:00〜
土曜   午前9:00〜

※上記時間外の急患は救急外来で受け付けております。

※休診日:日曜・祝日、第2土曜、年末年始(12月30日〜1月3日)、盆休(8月15日、16日)、創立記念日(6月1日)

※診察日は各診療科で異なります。詳しくは外来診療担当医一覧表をご覧下さい。